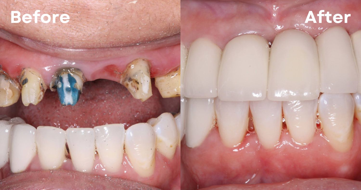
1) In one sentence
All-on-4 is a full-arch solution that replaces an entire upper or lower set of teeth with a fixed bridge supported by four implants – often with temporary fixed teeth the same day, depending on your scan and stability.
2) What to expect
- A 3D scan (CBCT) and digital plan to confirm bone, anatomy, and a safe implant map.
- Implant placement and a stability check; many patients can receive a temporary fixed bridge the same day.
- A healing phase with guided aftercare, soft-food timeline, and hygiene instructions.
- Final teeth designed for strength, comfort, and bite balance, plus maintenance visits to protect your results.
3) Questions to ask your dentist
- Will you take a CBCT/3D scan and show me the implant plan before surgery?
- What safety and sterilization protocols do you follow, and can you explain them clearly?
- What materials are used for the temporary bridge and the final bridge, and why?
- How many visits should I expect from consult to finals, and what is the realistic timeline?
- How do you confirm implant stability for immediate teeth (same-day), and what if stability is not ideal?
- What does aftercare include (meds, diet, hygiene, follow-ups), and who do I contact if I have a concern?
- What maintenance do you recommend long term (cleanings, night guard, checkups)?
- Can you share before/after cases and patient reviews similar to mine?
All-on-4 Dental Implants in Tijuana (Near San Diego): A 2026 Patient Guide
If you’re reading this, you’re probably tired of planning your life around your teeth.
Maybe you avoid crunchy foods because it’s ‘not worth the risk.’ Maybe your denture moves at the worst moment. Or maybe you’re ready to stop hiding your smile in photos.
When people search ‘All-on-4 dental implants in Tijuana’ or ‘dental implants near San Diego,’ they’re not just looking for a procedure – they’re looking for a decision they can feel confident about. This guide explains what to expect, what to ask, and how to plan a smooth visit – especially if you’re crossing from California.
Quick answer: What is All-on-4 (and why people love it)?
All-on-4 is a full-arch implant solution that replaces an entire upper or lower set of teeth with a fixed bridge supported by four implants. In many cases, patients can receive temporary fixed teeth the same day – so you’re not leaving without a smile.
Why patients choose it:
- Fixed teeth (not removable like a denture)
- More confident chewing and speaking
- Streamlined approach for full-arch cases
- Often fewer surgical steps than replacing every missing tooth one-by-one
Important: ‘same-day’ doesn’t mean ‘one-size-fits-all.’ Your bone, bite, gums, and medical history determine the safest plan.

What the All-on-4 process looks like (step-by-step)
A modern All-on-4 workflow usually follows a predictable, safer pattern:
1) Consultation + 3D planning
This is where real confidence begins: a thorough exam plus 3D imaging (CBCT) and digital diagnostics help plan implant placement and verify anatomy before surgery.
2) Removing failing teeth (if needed)
If you have broken or failing teeth, they may be removed as part of the same sequence – only if indicated by your plan.
3) Implant placement + stability check
Implants are placed and checked for stability. In many cases, the clinic can deliver immediate temporary fixed teeth as part of an All-on-4 same-day approach.
4) Healing + final teeth
After healing, your final bridge is designed for long-term comfort, strength, and esthetics. Your dentist will guide your diet, hygiene, and follow-ups.

A 9-point checklist to choose an implant clinic with confidence
Tijuana has many implant providers. The smartest move is not comparing ads – it’s comparing systems.
Use this checklist when you’re researching any clinic:
- 3D imaging (CBCT) + digital planning before surgery
- Clear sterilization and safety protocols you can ask about
- A defined prosthetics plan (materials, design, bite adjustment, follow-up)
- A realistic timeline with visits and check-ins (not vague promises)
- Bone grafting recommended only when needed, not as a default
- Transparent aftercare + long-term maintenance plan
- Documented patient results: before/after + testimonials
- A team that communicates clearly and helps plan travel logistics
- A dentist who can explain options in plain language – without rushing you
If a clinic can’t clearly explain these points, that’s your answer.
Traveling from San Diego: how to make it low-stress
Cross-border dental care is common in this region, but it’s normal to feel nervous the first time. A strong clinic helps with logistics – not just the procedure.
Bring the right documents
For U.S. citizens returning to the U.S., acceptable documents commonly include a passport, passport card, Trusted Traveler cards, or an Enhanced Driver’s License (requirements vary by person and travel method).
Ask about the medical fast pass / fast track lane
Some clinics provide a medical fast pass option to reduce the return wait time. Real-world times still depend on day and hour, so plan strategically.
Plan border timing
Return wait times can change drastically by hour and day. Book your appointment with a buffer, and avoid peak crossing times when possible.
Consider shuttle/hotel assistance if you want ‘easy mode’
If you’re anxious about logistics, choose a clinic that offers shuttle, hotel support, and travel guidance so you can focus on healing.

How long do implants last?
Implants are designed to be a long-term solution. Outcomes depend on hygiene, bite forces (night guard if recommended), overall health, and regular professional maintenance.
Translation: the surgery matters – but so does what happens after. Your new smile needs maintenance, just like natural teeth.
Why patients choose Dental Implants Center in Tijuana
Patients often begin their search wanting better value – but they stay because of quality, technology, and trust.
Key points to highlight on the page (and in your social proof sections):
- 35+ years of implant-focused experience
- Modern imaging and diagnostics for safer planning
- Safety and sterilization protocols emphasized in the patient experience
- Support for travel logistics (border guidance, shuttle/hotel assistance)
- Strong social proof: before/after results and patient testimonials
FAQs
– Does All-on-4 hurt?
Most patients describe pressure and soreness, not sharp pain. Your dentist will explain anesthesia options and post-op comfort steps.
– Will I have teeth the same day?
Many patients receive temporary fixed teeth the same day, but it depends on implant stability and your plan.
– What if I’ve been told I need bone grafting?
Some cases need grafting and some don’t. A 3D scan is the best way to confirm.
– Do I need a passport to cross from San Diego to Tijuana?
Most travelers need a passport or other acceptable travel document; requirements depend on status and travel method.
– Can I return to the U.S. the same day?
Many patients do, but it depends on the procedure, sedation, and how you feel. Your provider will advise whether an overnight stay is better.
Facebook: Dental Implants Center – Dental Implants Tijuana Mexico